








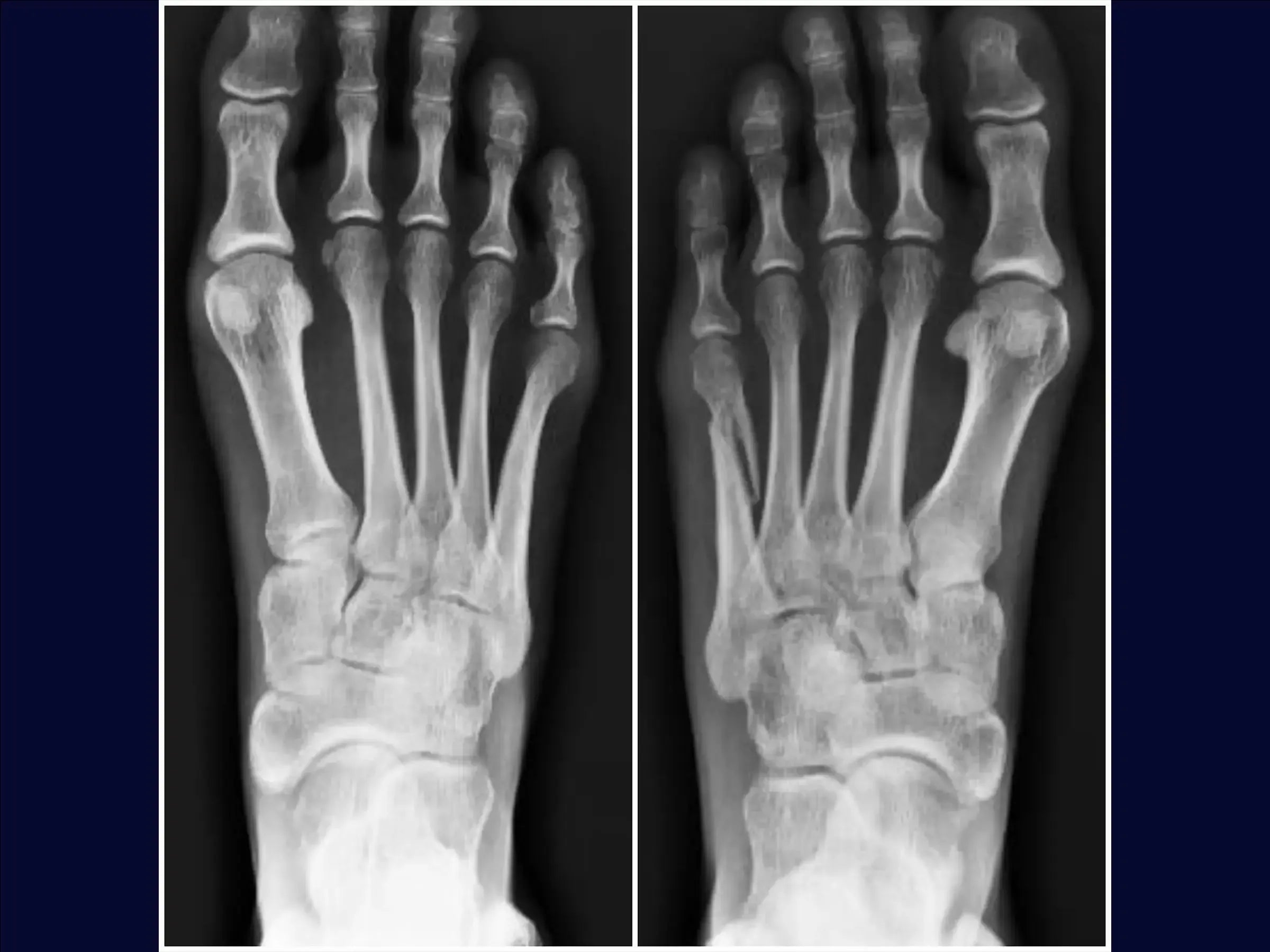
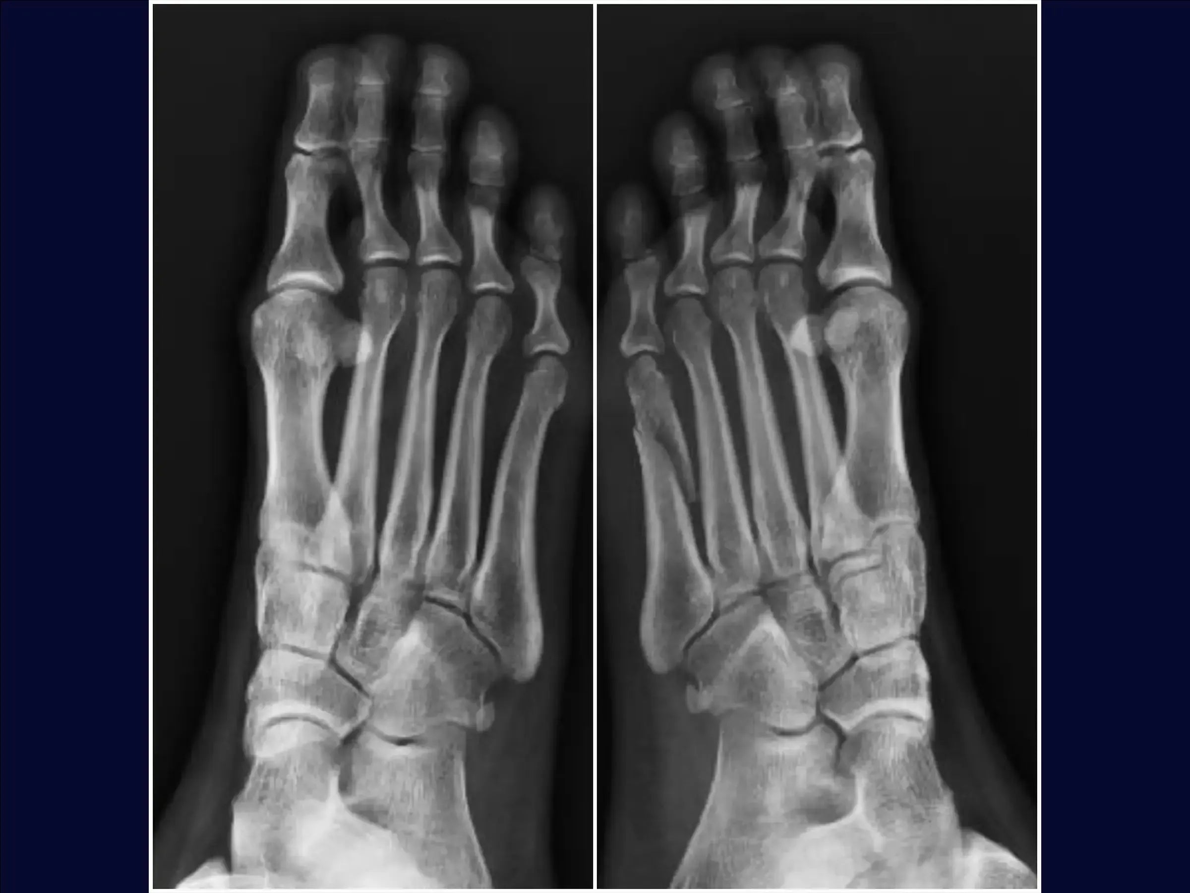
Fractura desplazada del quinto metatarsiano
Fractura del quinto metatarsiano: dominio quirúrgico preciso y rápido retorno al deporte.


Videos em 4k
Dublagem Profissional
Escolher opções









Descrição
Mejore sus habilidades en el tratamiento quirúrgico de fracturas desplazadas del quinto metatarsiano. Este procedimiento requiere una reducción anatómica cuidadosa para evitar la metatarsalgia o la disfunción de la marcha, especialmente en pacientes jóvenes y atletas. Esta capacitación detalla el procedimiento quirúrgico con placa de bloqueo y tornillos, con énfasis en la rápida recuperación funcional y el retorno a la actividad deportiva.
Enfoque del entrenamiento:
- Tratamiento quirúrgico de las fracturas desplazadas del quinto metatarsiano.
- Reducción anatómica y fijación estable con placa de bloqueo.
- Acceso quirúrgico y protección de estructuras neurovasculares .
Contenido detallado:
- Evaluación y planificación del acceso: análisis de radiografías para identificar la angulación de la fractura y la posibilidad de alteración de la carga de peso, metatarsalgia o disfunción de la marcha.
- Identificación y Protección Neurovascular: Reconocimiento y separación anatómica de nervios, venas y arterias sensoriales en el trayecto quirúrgico.
- Acceso quirúrgico y exposición de la fractura: Palpación de la cabeza y el cuerpo del quinto metatarsiano, incisión única con bisturí interno, desprendimiento uniforme del periostio y expansión del acceso distalmente, si es necesario.
- Reducción de la fractura y estabilización provisional: Identificación de los vértices de la fractura, reducción bajo visualización directa con pinza de reducción y estabilización provisional con agujas de Kirschner, evitando la zona de la futura placa.
- Fijación Definitiva con Placa Bloqueada: Colocación de una placa minifragmentaria de perfil bajo, utilización de tornillos largos para una adecuada distribución de la carga y reducción de la necesidad de futuras extracciones.
- Cierre y resultados: Cierre plano, con demarcaciones para resultados estéticos. La fijación estable permite la carga temprana con calzado de suela rígida.
Material incluido:
- PDF Técnico Completo: Este PDF detalla la técnica de reducción anatómica, estabilización provisional y fijación definitiva mediante una placa de minifragmento bloqueada y tornillos largos de perfil bajo. El documento también describe los resultados esperados, como una reducción anatómica precisa y una fijación estable, que permite una carga temprana. El cierre por capas se realiza para obtener resultados estéticos superiores.
Perfecciona tus habilidades en el tratamiento quirúrgico de las fracturas del quinto metatarsiano. Inscríbete ahora y domina las técnicas de reducción anatómica y fijación estable.