







Fratura Articular Cominutiva do Úmero Distal
Domine a cirurgia do úmero distal em 4K com técnica detalhada para fraturas cominutivas.

Videos em 4k
Dublagem Profissional
Escolher opções








Descrição
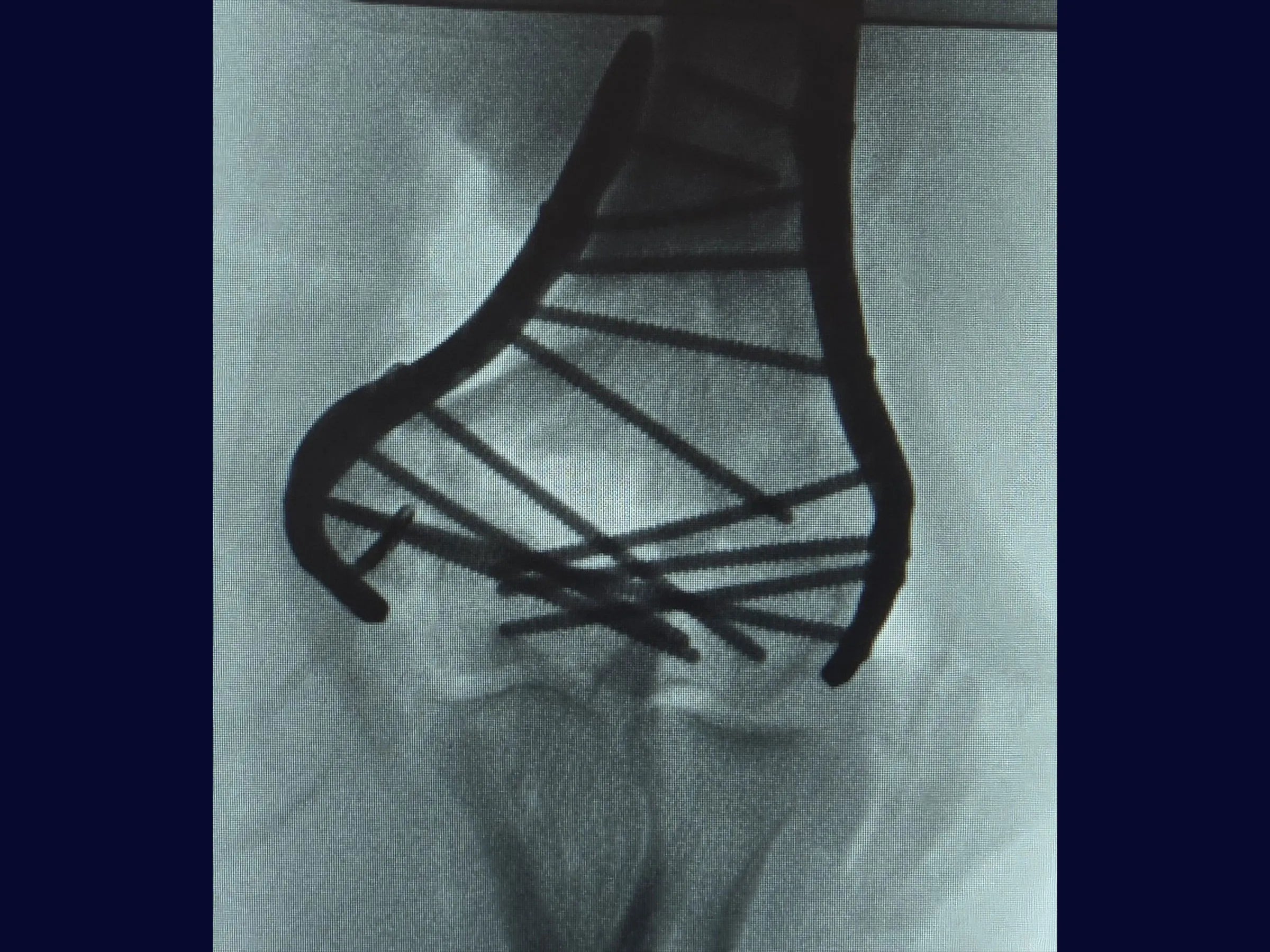
As fraturas articulares multifragmentares do úmero distal representam um dos maiores desafios na cirurgia do trauma, exigindo precisão na redução articular e estabilidade que permita mobilização precoce.
Este treinamento oferece uma visão detalhada da fixação rígida com placas de ângulo variável, apresentada em vídeo 4K sob a perspectiva cirúrgica, com comentários técnicos e material complementar em PDF.
Foco do Treinamento:
- Posicionamento em decúbito ventral e acesso amplo ao úmero distal.
- Identificação e proteção proximal do nervo ulnar.
- Osteotomia em Chevron no olécrano para ampla exposição articular.
- Redução de fragmentos articulares com fios de Kirschner em joystick.
- Fixação definitiva com placas bloqueadas de ângulo variável.
- Reconstrução anatômica de partes moles e proteção do implante.
- Estabilidade que permite mobilização precoce e recuperação funcional.
Conteúdo Detalhado:
- Acesso Otimizado: Técnicas de posicionamento e incisão que ampliam a exposição.
- Segurança Neurológica: Estratégias para liberação e proteção do nervo ulnar durante todo o procedimento.
- Osteotomia Precisa: Chevron no olécrano com preservação da cartilagem, garantindo estabilidade e preservação anatômica na reconstrução.
- Redução Controlada: Uso de fios K como joystick para manipulação de fragmentos articulares e restauração das colunas.
- Fixação Estável: Aplicação de placas bloqueadas de ângulo variável para alinhamento seguro e resistência biomecânica.
- Prevenção de Rigidez: Estabilidade rígida permitindo mobilização precoce do cotovelo.
Material Incluído:
PDF detalhado: passo a passo da técnica, desde o acesso e proteção do nervo ulnar até a osteotomia, redução com fios K, fixação com placas bloqueadas e cuidados no fechamento.
Aprimore sua prática em cirurgia do trauma. Inscreva-se agora e domine a fixação rígida de fraturas supracondileanas do úmero distal com placas de ângulo variável.