




Fratura de Maléolo Lateral com Placa Posterior (Plano B)
Aprimore o manejo da fratura de maléolo lateral com placa posterior.
Dr. Savio Chami
Médico Ortopedista
Disponível em::

Videos em 4k
Dublagem Profissional
Escolher opções





Fratura de Maléolo Lateral com Placa Posterior (Plano B)
Preço promocionalR$ 0,00
Dr. Savio Chami
Médico Ortopedista
Questions & Answers loading...
Descrição
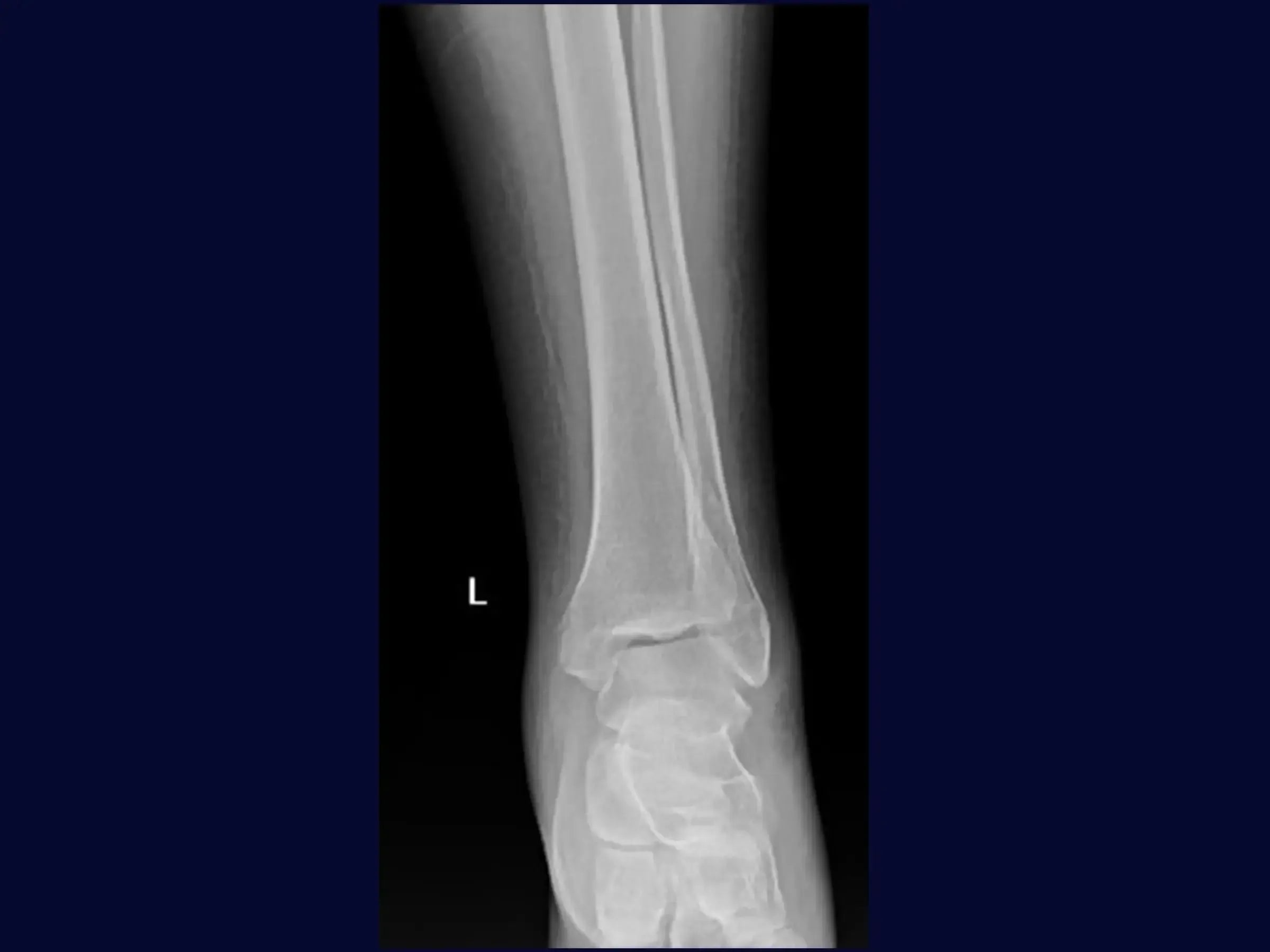
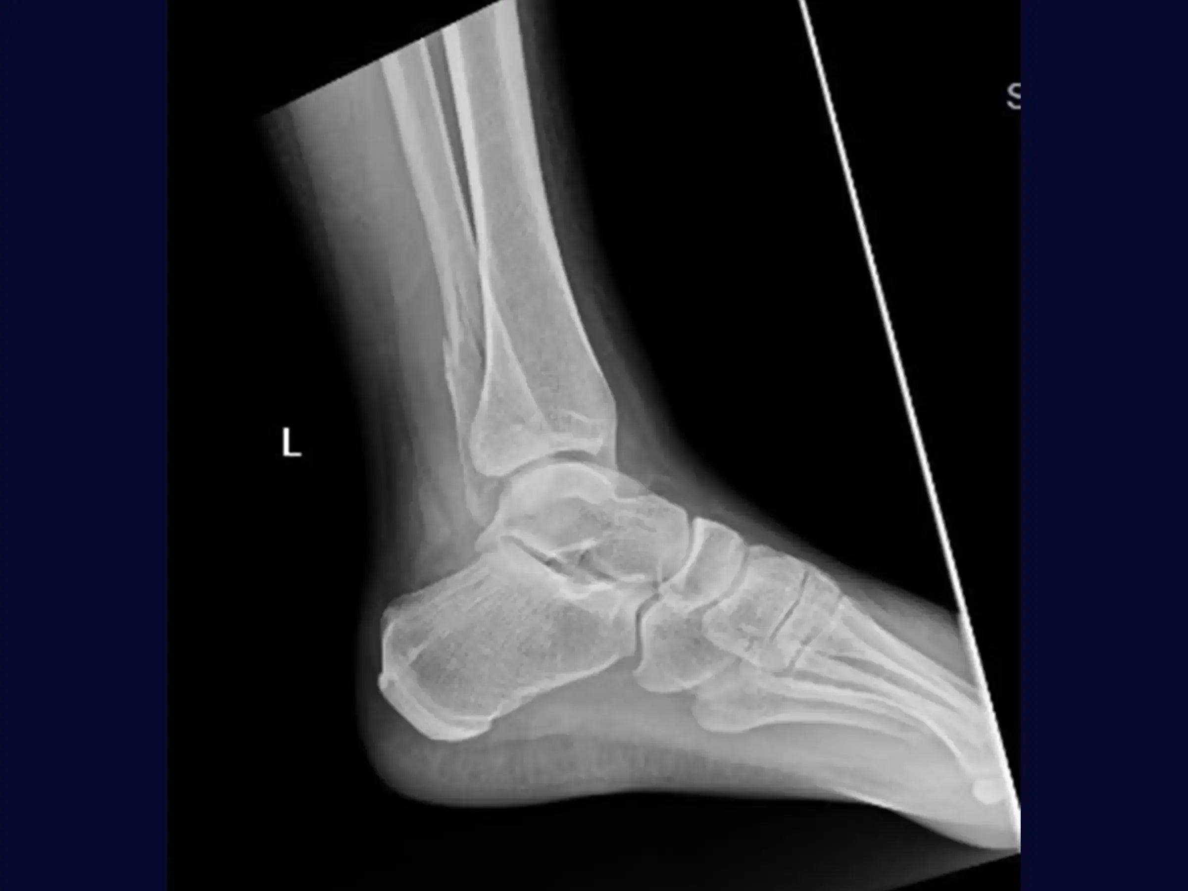
Aprimore o manejo de fraturas isoladas do maléolo lateral, especialmente as com componente multifragmentar. Este treinamento oferece uma imersão técnica na osteossíntese com placa posterior como estratégia adaptativa, apresentada em vídeo de alta resolução sob a perspectiva cirúrgica, focando na flexibilidade do planejamento intraoperatório e na mobilidade precoce.
Foco do Treinamento:
- Tratamento cirúrgico de fraturas isoladas do maléolo lateral com componente fragmentar.
- Técnica de osteossíntese com placa posterior para controle do cisalhamento.
- Dissecção subperióstea para preservação tecidual e proteção do implante.
- Estratégias de adaptação e mudança de planejamento intraoperatório.
Conteúdo Detalhado:
- Posicionamento Estratégico do Paciente: Otimização do campo cirúrgico e facilitação do acesso para o cirurgião.
- Acesso Cirúrgico Lateral Formal: Garantia de campo limpo e identificação precisa da fratura.
- Dissecção Subperióstea Otimizada: Metodologia com bisturi interno para manter a integridade do periósteo, protegendo o implante e a vascularização.
- Redução Anatômica por "Dentes da Fratura": Técnica para identificar e coaptar os fragmentos com precisão.
- Estratégia Adaptativa com Placa Posterior: Abordagem para gerenciar fraturas complexas e fragmentadas, garantindo estabilidade e redução.
- Fixação com Parafuso de Tração da Placa: Posicionamento estratégico do parafuso para estabilização da fratura através da compressão.
- Modelagem Distal da Placa: Prevenção de irritação de tendões fibulares, otimizando o conforto pós-operatório.
- Fechamento sobre a Placa com Periósteo Íntegro: Proteção da osteossíntese e manutenção da vascularização local.
- Fechamento Estético: Aplicação de técnica de sutura para resultados cosméticos superiores.
- Visualização Detalhada em 4K (Perspectiva Cirúrgica): Análise de alta resolução dos passos cirúrgicos com detalhes anatômicos e instrumentais.
- Análise Pós-Procedimento de Decisões Intraoperatórias: Compreensão crítica das escolhas cirúrgicas e seus fundamentos.
Material Incluído:
- PDF Detalhado: Resumo conciso do procedimento, incluindo: condição (fratura isolada do maléolo lateral com componente fragmentar), posicionamento do paciente, detalhes do acesso lateral formal, técnica de dissecção subperiósteal, etapas da redução e fixação definitiva com placa posterior, além dos ajustes finos e o protocolo de fechamento para resultados funcionais e estéticos.
Domine o tratamento cirúrgico das fraturas do maléolo lateral. Inscreva-se agora e aprimore suas habilidades com a técnica de placa posterior.