


Osteossíntese do Úmero Proximal – Placa Medial
Osteossíntese do Úmero Proximal: domínio da fixação dupla e visão cirúrgica imersiva em 4K.

Videos em 4k
Dublagem Profissional
Escolher opções



Descrição
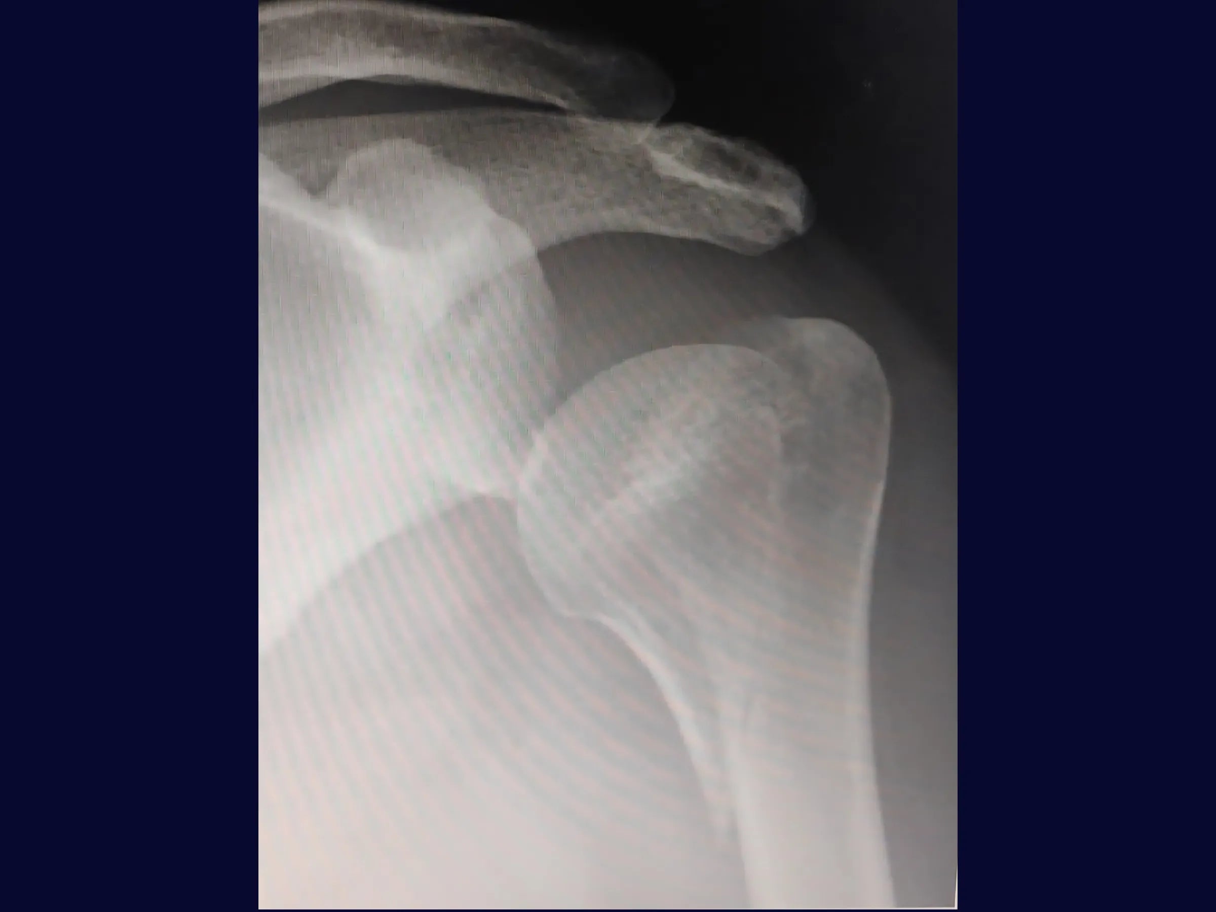
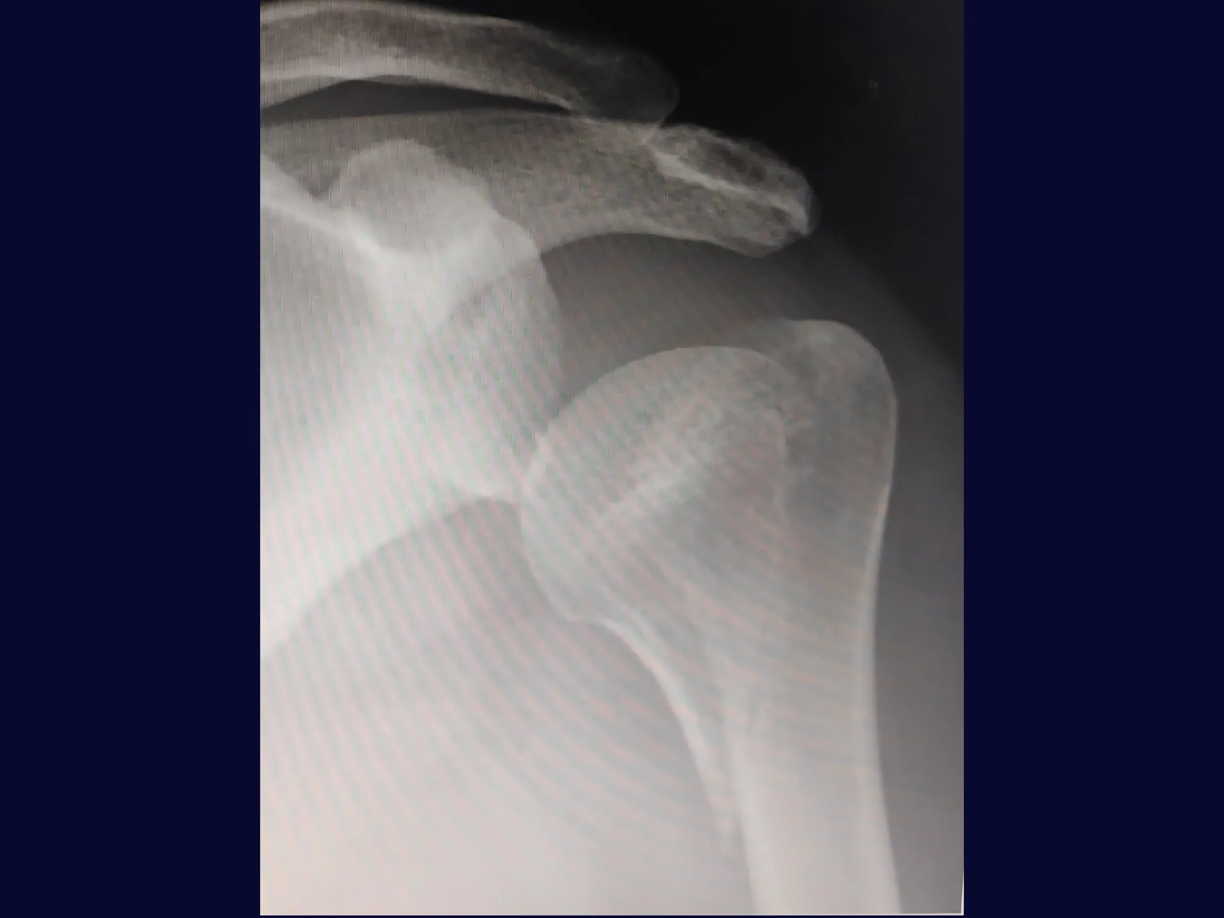
A consolidação parcial em fraturas proximais do úmero com cisalhamento medial representa um desafio frequente na prática ortopédica, dificultando a redução anatômica e a estabilização adequada.
Este treinamento apresenta, em alta definição e sob a perspectiva do cirurgião, a aplicação da placa medial anti-cisalhante associada à placa lateral de baixo perfil, demonstrando passo a passo a redução indireta, a preservação das estruturas anatômicas e a estabilização biomecânica da fratura.
Foco do Treinamento:
- Redução indireta de fratura proximal do úmero com cisalhamento medial.
- Fixação combinada: placa medial anti-cisalhante + placa lateral de baixo perfil.
- Abordagem deltopeitoral com tenotomias seletivas para exposição.
- Preservação tecidual e vascular (subescapular, deltoide, veia cefálica).
- Técnicas de fechamento com suturas de alta resistência para estabilidade anterior.
Conteúdo Detalhado:
- Redução Indireta com Placa: Uso da própria placa como alavanca para superar consolidação parcial e restaurar a altura da cabeça umeral.
- Estabilidade Biomecânica Avançada: Combinação de placa medial anti-cisalhante com placa lateral → resistência contra cisalhamento e rotação.
- Planejamento Cirúrgico Inteligente: Estratégia de posicionamento que permite múltiplas rotações e amplia o acesso sem cortes musculares.
- Preservação Tecidual: Técnica que reduz sangramento, preserva a massa muscular e estruturas anatômicas (deltoide e veia cefálica).
- Fechamento Funcional: Reforço do subescapular com sutura de alta resistência, prevenindo instabilidade anterior pós-operatória.
- Visualização Imersiva em 4K: Detalhes anatômicos, instrumentais e decisões técnicas apresentados sob a ótica do cirurgião.
Material Incluído:
PDF Detalhado: Guia prático com planejamento cirúrgico, técnica de acesso deltopeitoral, sequência de redução indireta, fixação com placas medial e lateral, e cuidados no fechamento. Inclui orientações passo a passo para aplicação direta na prática ortopédica.
Eleve seu nível técnico na cirurgia do úmero proximal.
Inscreva-se agora e domine as estratégias biomecânicas de fixação com placa medial e lateral em fraturas complexas.