







Tripod Technique: Fixação Da Cabeça Do Rádio
Tripod Technique: Domine a Fixação da Cabeça do Rádio em 4K. Estabilidade articular e mobilidade precoce com precisão cirúrgica.

Videos em 4k
Dublagem Profissional
Escolher opções








Descrição
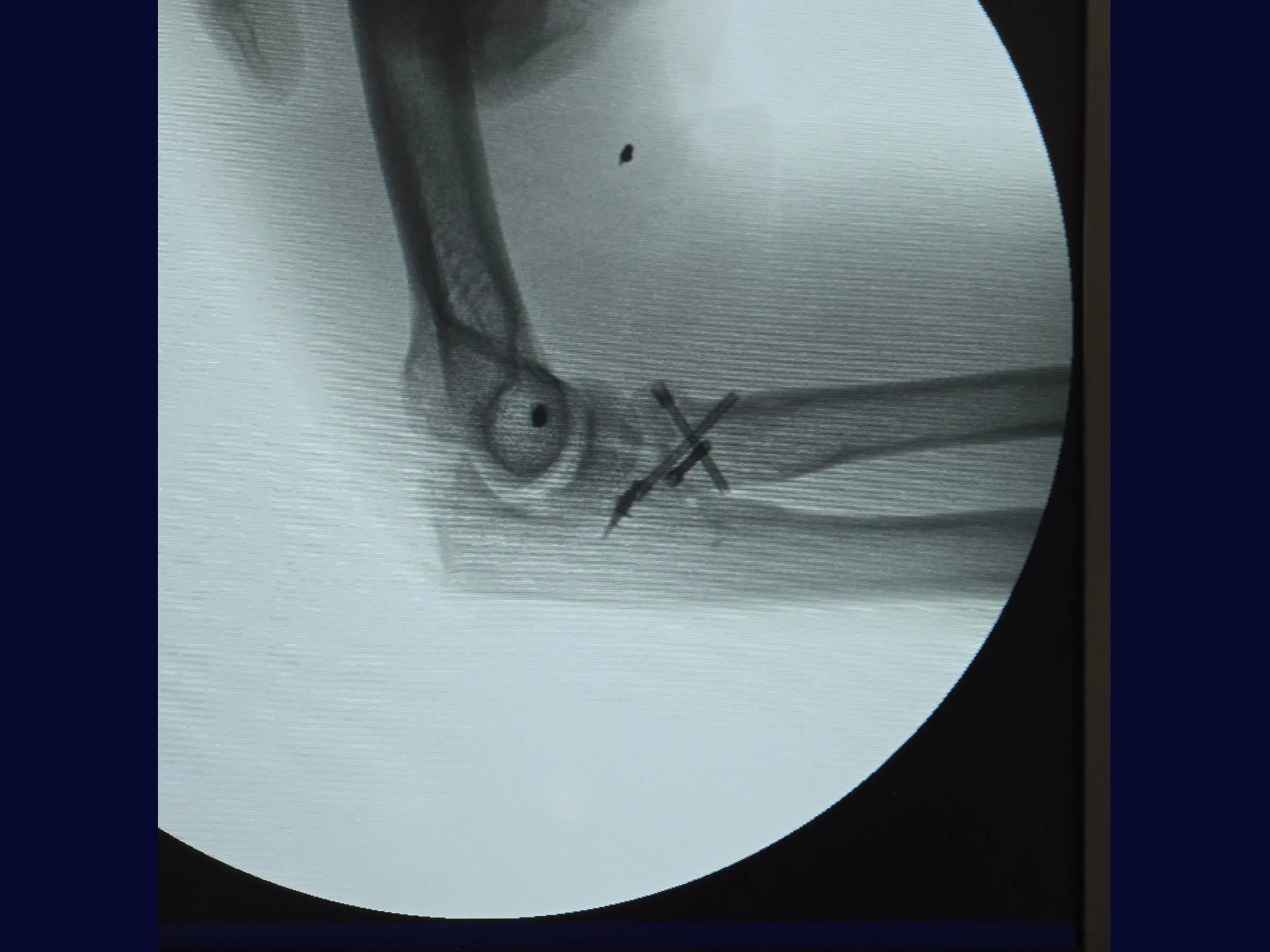
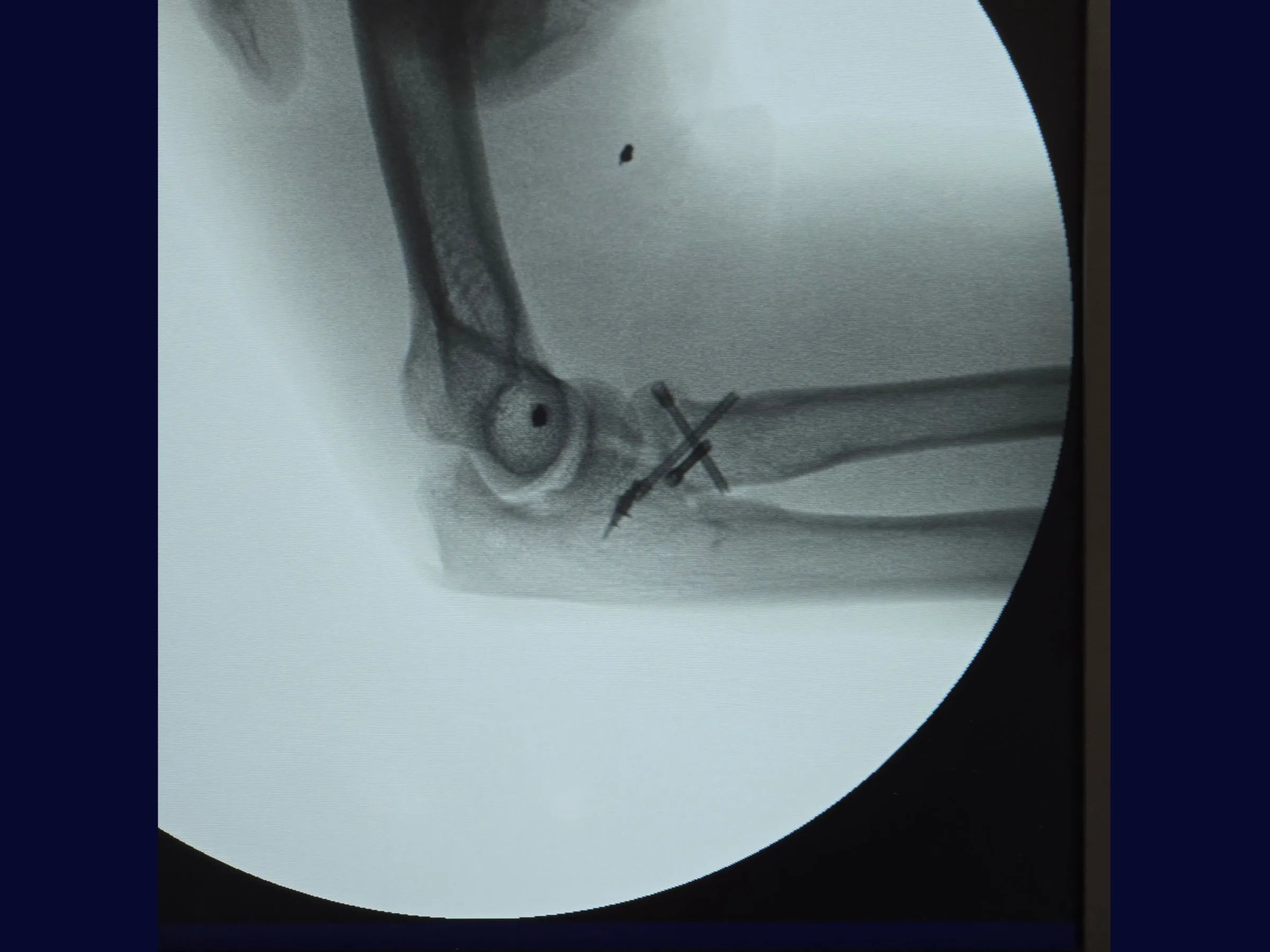
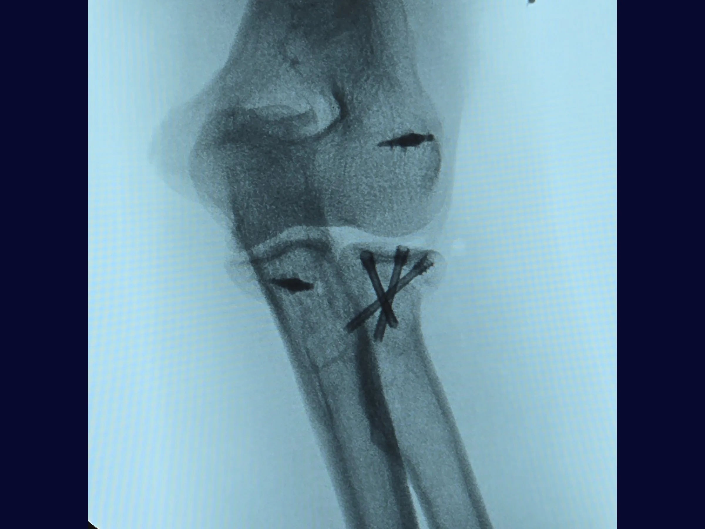
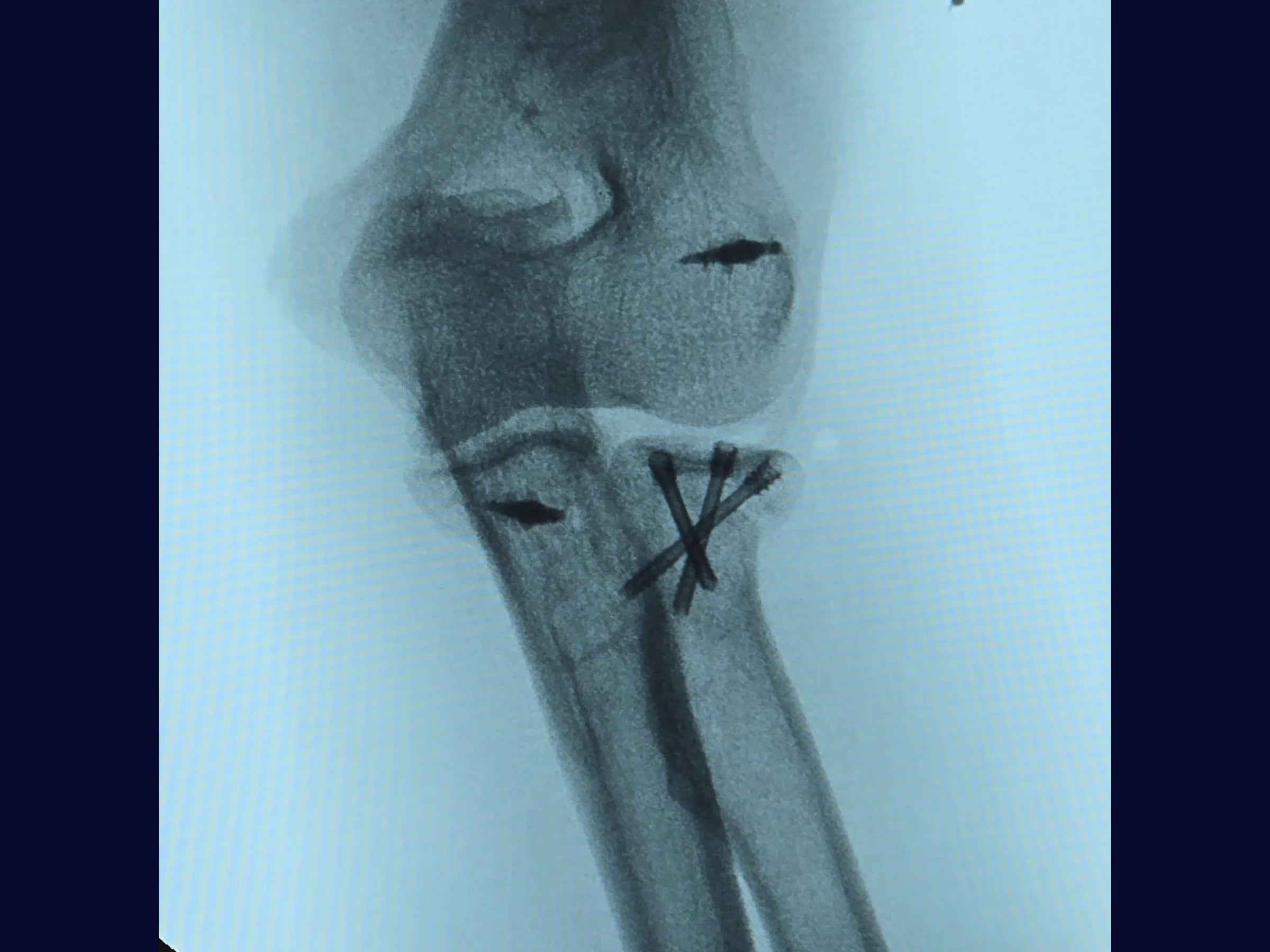
A instabilidade do cotovelo após fraturas da cabeça do rádio com avulsão do coronoide representa um desafio frequente.
Este treinamento apresenta a técnica do tripé com parafusos de dupla compressão e reinserção capsular com âncora metálica, em vídeo 4K sob a perspectiva cirúrgica, permitindo compreender cada detalhe técnico e aplicar com segurança na prática.
Foco do Treinamento:
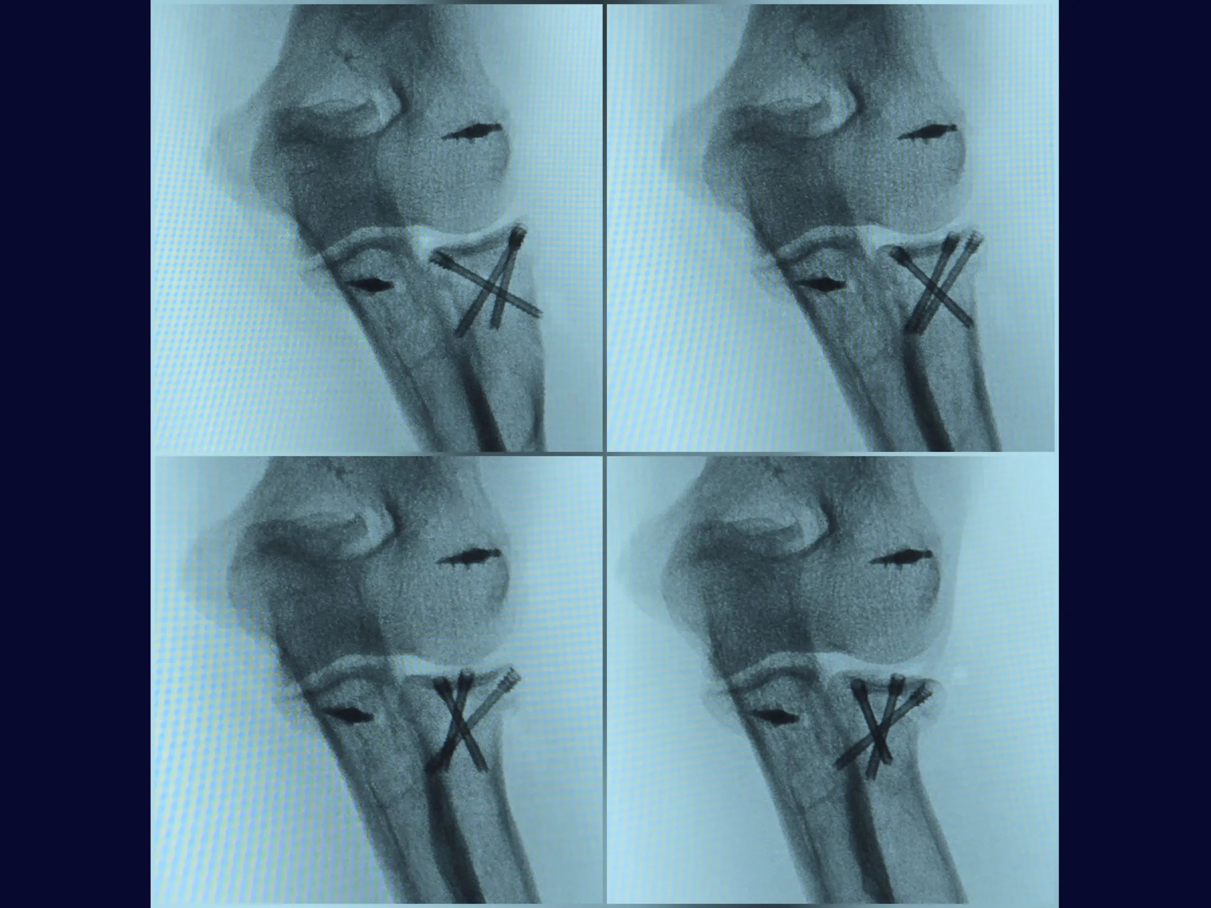
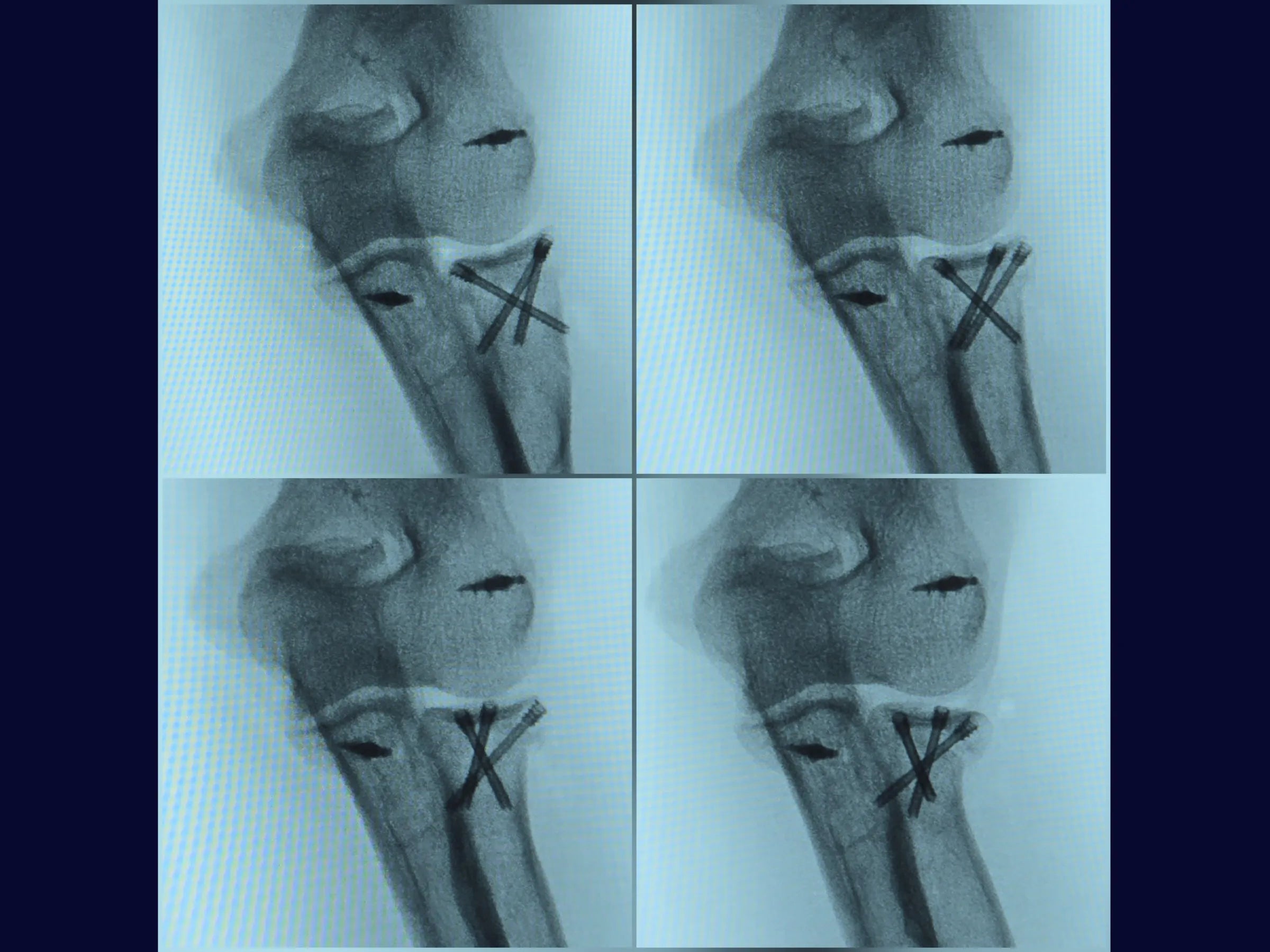
- Osteossíntese da cabeça do rádio preservando a vascularização.
- Técnica do tripé com parafusos de dupla compressão (2,4 mm).
- Reinserção da cápsula articular anterior com âncora metálica.
- Reconstrução ligamentar lateral e fechamento anatômico.
- Testes de estabilidade intraoperatória e mobilidade precoce.
Conteúdo Detalhado:
- Redução Precisa: Preservação do periósteo para manter vascularização.
- Fixação Segura: Parafusos sepultados em ângulo biomecânico de 45°.
- Estabilidade Articular: Reinserção capsular com âncora metálica de 5 mm.
- Preservação Tecidual: Acesso lateral otimizado pelo intervalo de Kaplan.
- Mobilidade Pós-Operatória: Planejamento para movimento precoce sem risco de instabilidade.
- Controle de Complicações: Técnicas para prevenir perda de alinhamento e falha biomecânica.
- Visualização em 4K: Passos cirúrgicos registrados em alta definição.
- Comentário Crítico: Análise das decisões intraoperatórias pelo cirurgião.
Material Incluído:
PDF Detalhado: Aborda planejamento cirúrgico, técnica do tripé, reinserção capsular com âncora, fechamento meticuloso e sequência de testes intraoperatórios — servindo como guia prático de referência no intra e pós-operatório.
Aprimore sua abordagem em fraturas complexas do cotovelo. Inscreva-se agora e domine a técnica Tripod para tratamento da cabeça do rádio com segurança e precisão.